歯を削らず白くします
歯の漂白は米国では9割近くの歯科医院で行われているほど常識レベルになっています。
わが国でも、既に一大ブームの兆しがみられます。白く輝く歯は万人の憧れで、年齢、男女、職業を問わずもとめられています。
当歯科医院では、歯を削らず、化学作用による歯の漂白を行っています。美容院で髪を染めるような感覚で歯を白くします。自宅で数時間、マウストレーの装着により約2~3週間で効果があらわれます。
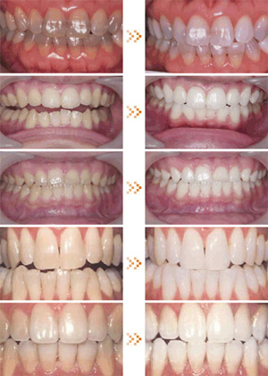
症例


歯の漂白は米国では9割近くの歯科医院で行われているほど常識レベルになっています。
わが国でも、既に一大ブームの兆しがみられます。白く輝く歯は万人の憧れで、年齢、男女、職業を問わずもとめられています。
当歯科医院では、歯を削らず、化学作用による歯の漂白を行っています。美容院で髪を染めるような感覚で歯を白くします。自宅で数時間、マウストレーの装着により約2~3週間で効果があらわれます。
