審美歯科
健康な笑顔でよりよい人生を
審美歯科をご存知ですか?
歯の変色、すき間、形の異常などでお悩みの方へ 「審美歯科」はお口の健康を守り、さらに口もとの美しさをも追求する新しい分野です。
症例-矯正歯科と審美歯科のコラボレーション
矯正歯科とポーセレンベニアとホワイトニングを総合的に治療されたケースです。すばらしい変化ですね。
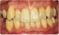
1)矯正治療前

30代女性。長年の歯並びの悪さを気にして来院されました。
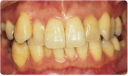
2)矯正治療後

口元がすっきりし、歯並びの悩みが解決しました。きれいな歯並びを手に入れると、歯の変色が気になりはじめ、歯を白くする審美歯科を希望されました。
3)上顎前歯のポーセレンラミネートベニア治療後

上顎の場合、左上2番が神経の治療をしてあり、ホワイトニングだけでは均一な白さが得られないため、患者様の希望によりポーセレンラミネートベニアの治療をしました。
4)下顎前歯のホワイトニング後

下顎は上顎前歯のポーセレンラミネートベニアに色調を合わせたホワイトニングを行いました。
近年欧米から最新の治療法が入ってまいりました。歯を削らずに白くする
ホワイトニング
ファインセラミックスを直接歯面に接着(ダイレクトボンディング)する最新の治療法
ポーセレンラミネートベニア
歯にかぶせる場合でも天然の歯の色調を再現できる
ファインセラミックスメタルボンド
金属をまったく使用せず、より美しい口もとになる
オールセラミックス /ハイブリッドセラミックス
歯につめる(インレー)場合にも金属を出さない
セラミックスインレー/ハイブリッドインレー
などがあります。
当院院長は、審美歯科という言葉が一般的になる約20年前より名古屋大学附属病院分院(当時)において、日本に先駆けて「審美歯科外来」を開設させていただき、約300例の臨床経験を持っております。
また、審美歯科の専門学会「日本審美歯科学会」の学会開設以来の会員でもあります。 あなたのお口に合わせた最善のプランをご提案いたしますので、どうぞ安心してご相談ください。








